Ependym
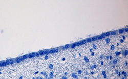
Hämatoxylingefärbtes Schnittpräparat
Als Ependym (aus dem Griechischen: Oberkleid) bezeichnet man die Zelllage, die die inneren Flüssigkeitsräume des Zentralnervensystems, also das Ventrikelsystem und den Zentralkanal auskleidet. Das Ependym trennt die Hirnflüssigkeit, den Liquor cerebrospinalis, vom eigentlichen Hirnnervengewebe.
Histologie
Ependymzellen zählen zur Gruppe der Gliazellen, die eine funktionale Bedeutung für die eigentlichen Nervenzellen haben. Auch das Epithel des Plexus choroideus bildet sich aus spezialisierten Ependymzellen.
Histologisch handelt es sich um eine einschichtige, flache bis hochprismatische (vor allem im Bereich des dritten Hirnventrikels) besetzte Zellreihe, die Kinozilien und Mikrovilli trägt. Die Ependymzellen sind durch Zonulae adhaerentes miteinander verbunden.[1]
Erkrankungen
Eine Entzündung dieser Zellschicht wird Ependymitis genannt. Sie kann bei Hydrocephalus oder bei Infektionskrankheiten wie Toxoplasmose und Syphilis auftreten.
Vom Ependym ausgehende Tumoren werden als Ependymome bezeichnet. Aus dem Ependym isolierte Glykoproteine (Ependymine) werden mit der Konsolidierung des Langzeitgedächtnisses in Verbindung gebracht.
Einzelnachweise
- ↑ Werner Linß, Jochen Fanghänel: Histologie: Zytologie, allgemeine Histologie, mikroskopische Anatomie. Walter de Gruyter, 1998, ISBN 978-3-11-014032-3, S. 92.


© biancahoegel.de
Datum der letzten Änderung: Jena, den: 25.03. 2026